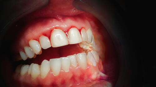
1. 歯磨きで血が出る原因

歯磨きで血が出る原因1.歯周病による炎症
歯茎から血が出る原因の90%以上は、歯周病の影響が大きいとされている。歯周病とは、プラークが歯茎に侵入するのを防ごうと集まった白血球が、血だまりを作ってしまうことで起こる炎症だ。炎症した部分は赤く腫れあがっており、刺激に対して非常に敏感になっている。そのため、歯周病になると、歯磨きなどのちょっとした刺激で出血しやすくなってしまうのだ。
歯磨きで血が出る原因2.虫歯による炎症
歯茎の出血は、虫歯による炎症によっても起こる。歯が溶けてしまうほどの大きな虫歯は見るからに炎症しているのが分かるが、実は小さな虫歯でも、発生する箇所によっては炎症が悪化することがある。中でも歯茎のまわりや歯と歯の間はとくに炎症が起こりやすいため、虫歯ができると歯磨きで血が出ることが増えてしまう。
歯磨きで血が出る原因3.歯茎が圧迫されている
かぶせ(差し歯)や詰めものが合わないことも、歯磨きで血が出る原因の1つだ。これらと歯の間にプラークが詰まると、歯茎が圧迫されて歯磨きの際に血が出やすくなる。同様に、かぶせや詰め物と歯の間に歯石ができた場合も、歯磨きによる出血のリスクが高くなる。歯茎の圧迫による出血は、プラークや歯石が詰まっている部分のみ血が出るため、原因を特定しやすいのが特徴だ。
2. 歯磨きで血が出るのを放っておくとどうなる?

血が出るからといって歯磨きをやめてしまうと、歯茎と歯の間に付着したプラークが取り切れず、さらに症状が悪化してしまう場合がある。中でも注意したいのが、歯周炎と呼ばれる口内トラブルだ。歯周炎は初期段階で痛みなどの自覚症状がほとんどないため、気が付かないうちに重症化していることが多い。症状がひどくなると、歯茎から血が出るだけでなく、膿が出たり、歯がグラついて抜け落ちたりしてしまうこともある。
また近年の研究では、歯磨きで血が出るのを放っておくことで、心臓病や糖尿病、肺炎などの全身疾患を招く恐れがあることも明らかになっている。さらにプラークと血の塊ができると、血管が詰まってしまい、脳梗塞や心筋梗塞の恐れさえある。万が一歯磨きで出血しても、歯磨きを止めることはせず、正しいケアを行っていくことが重要だ。
また近年の研究では、歯磨きで血が出るのを放っておくことで、心臓病や糖尿病、肺炎などの全身疾患を招く恐れがあることも明らかになっている。さらにプラークと血の塊ができると、血管が詰まってしまい、脳梗塞や心筋梗塞の恐れさえある。万が一歯磨きで出血しても、歯磨きを止めることはせず、正しいケアを行っていくことが重要だ。
3. 歯磨きで血が出る時の正しいケア方法

歯磨きの際に血が出る場合は、歯茎が炎症によって刺激に弱くなっているため、しばらくは刺激を与えないようにすることが重要だ。少なくとも2~3週間はいつも以上にやさしくブラッシングすることを心がけ、歯ブラシもやわらかめのものを使うようにしてほしい。炎症していた歯茎が回復し、出血が徐々に治まってきたら、通常の歯磨きのやり方に戻していこう。
なお、歯磨きをする際に力が入りすぎてしまう、あるいはついゴシゴシ磨いてしまう方は、スクラッピング法という磨き方を試してみてほしい。スクラッピング法とは、歯に垂直になるようにブラシを当てて磨いていく方法だ。鉛筆の持ち方と同じように歯ブラシを持ち、毛先が歯と歯の隙間に当たる程度の力で磨いていくと、強い刺激を与えずに歯の汚れを落としていくことができる。一度に磨く歯の本数は2~3本までとし、一箇所につき10~20回以上磨くように心がけよう。
また、研磨剤入りの歯磨き粉は歯茎に傷をつけて炎症を悪化させてしまう恐れがあるため、できれば使用を避けたほうがいいだろう。より早い回復を望むなら、歯周病予防に効果的なイソプロピルメチルフェノールなどの薬用成分が配合された歯磨き粉を選ぶのがおすすめだ。ほかにも抗炎症成分が配合されている歯磨き粉は歯茎の腫れや出血を抑制してくれるので、ぜひ試してみてほしい。
なお、歯磨きをする際に力が入りすぎてしまう、あるいはついゴシゴシ磨いてしまう方は、スクラッピング法という磨き方を試してみてほしい。スクラッピング法とは、歯に垂直になるようにブラシを当てて磨いていく方法だ。鉛筆の持ち方と同じように歯ブラシを持ち、毛先が歯と歯の隙間に当たる程度の力で磨いていくと、強い刺激を与えずに歯の汚れを落としていくことができる。一度に磨く歯の本数は2~3本までとし、一箇所につき10~20回以上磨くように心がけよう。
また、研磨剤入りの歯磨き粉は歯茎に傷をつけて炎症を悪化させてしまう恐れがあるため、できれば使用を避けたほうがいいだろう。より早い回復を望むなら、歯周病予防に効果的なイソプロピルメチルフェノールなどの薬用成分が配合された歯磨き粉を選ぶのがおすすめだ。ほかにも抗炎症成分が配合されている歯磨き粉は歯茎の腫れや出血を抑制してくれるので、ぜひ試してみてほしい。
4. 歯磨きで血が出るのが治まらない時はどうする?

正しく歯磨きを行っているのに出血が止まらない場合は、ホームケアだけでは改善されないほど歯周病や虫歯が進行してしまっている可能性が高い。歯磨きによる出血に加え、歯茎から膿が出たり、歯がぐらぐら揺れたりしている場合は歯科医での治療が必要となるので、早めに病院を受診したほうがいいだろう。また、出血が慢性化しているときは歯に関わる疾患だけでなく、血液の病気や悪性腫瘍などの重篤な病気が隠れていることもある。全身疾患に繋がる恐れもあるので、そういった場合も必ず歯科医を受診してほしい。
結論
血が出るからといって歯磨きを怠ったり、出血を放置したりするのは絶対にNGだ。最悪の場合は重篤な病気を招く恐れもあるので、きちんと出血の原因を把握し、正しいケアを行ってほしい。また、適切なホームケアを行っても出血が治まらない時は、虫歯や歯周病が深刻化している可能性が高いので、早めに歯科医を受診することが重要だ。
